Welcome to Dr. Pramod kumar Surve

Health Information Repository

Find reliable health information, FAQs & resources on topics of your interest

Role of Minimally Invasive Spine Surgery in Modern Orthopedics
Minimally Invasive Spine Surgery (MISS) has revolutionized the field of orthopedics, providing patients with advanced treatment options for spine-r...
Dr. Pramod Kumar Surve
Common Spine Disorders - Dr. Pramod Kumar Surve
The spine is a crucial part of the human body, providing structure, support, and flexibility while protecting the spinal cord. However, it is also ...
Dr. Pramod Kumar Surve?
Back Pain - Dr. Pramod Kumar Surve
Dr. Pramod Kumar Surve is a highly skilled Orthopedic surgeon specializing in Orthopaedic Surgery, Spine Surgery, Trauma Surgery, and Joint Replace...
Dr. Pramod Surve
Bone Fracture - Dr. Pramod Kumar Surve
Dr. Pramod Kumar Surve is a renowned Orthopedic surgeon specializing in Orthopaedic Surgery, Spine Surgery, Trauma Surgery, and Joint Replacement. ...
Dr. Pramod Surve
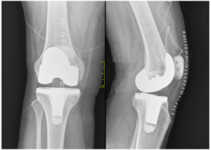
Total Knee Replacement - Dr. Pramod Kumar Surve
Meet Dr. Pramod Kumar Surve, a distinguished Orthopedic surgeon specializing in Orthopaedic Surgery, Spine Surgery, Trauma Surgery, and Joint Repla...
Dr. Pramod Kumar Surve
Back pain
Back pain
Find out how everyday standing and sitting habits can cause back pain and other ailments.
NHS
Scoliosis
Scoliosis
Scoliosis is the abnormal twisting and curvature of the spine. It is usually first noticed by a change in appearance of the back.
NHS
Whiplash
Whiplash
Whiplash is a term that describes a neck injury caused by a sudden movement of the head forwards, backwards or sideways. It often occurs after a sudden impact such as a road traffic accident (see below).
NHS
Trauma and orthopaedics (orthopaedic surgery)
Trauma and orthopaedics (orthopaedic surgery)
Trauma and orthopaedics is an area of surgery concerned with injuries and conditions that affect the musculoskeletal system (the bones, joints, ligaments, tendons, muscles and nerves).
NHS
Multiple system atrophy
Multiple system atrophy
Multiple system atrophy is a disease of the nervous system that leads to premature death. It results in parts of the brain and spinal cord gradually becoming more damaged over time.
NHS
Shin splints
Shin splints
Shin splints is a general term used to describe exercise-induced pain in the front of the lower legs, or shins. The shin pain can be felt during or after strenuous activity, particularly running, or sports with sudden stops and starts, such as basketball and tennis.
NHS
Loading...
?
Ask Question
AboutMyClinic
SmartSite created on AboutMyClinic.com
Site-Help | Disclaimer
Disclaimer: The information provided here should not be used during any medical emergency or for the diagnosis or treatment of any medical condition. The information is provided solely for educational purpose and should not be considered a substitute for medical advice.